AngioTC torácica, en la que se aprecian defectos de repleción en ambas... Download Scientific

A angiografia por tomografia computorizada (AngioTAC) é um teste de imagem que vê as artérias do coração ou as restantes artérias do corpo. Pode ser usada para diagnosticar a causa de dor torácica (no peito) ou outras doenças e é, por isso, um exame cada vez mais usado pelos médicos. Para conseguir ter qualidade de diagnóstico, o.
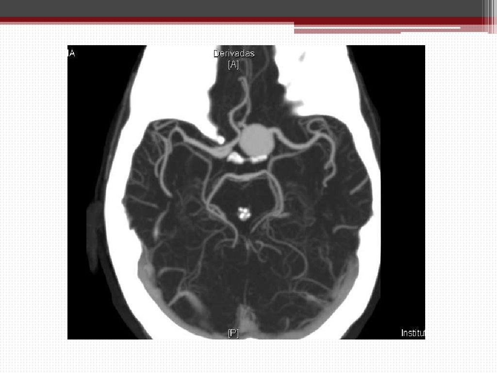
Estudio de aneurisma cerebral mediante angio tc

Angio TC / TAC. A Angio TC (Tomografia Computadorizada), também conhecida como Angio TAC, é um exame indolor que utiliza Raio-X para obter informação sobre diferentes pontos do corpo, e que depois do processamento computorizado dos dados obtidos, permite uma imagem em diferentes planos, dirigida especialmente à vascularização arterial.
Angiotomografia o que é, para que serve e como funciona

O exame de Angiotomografia Computadorizada Arterial de Tórax é realizado por solicitação médica. O paciente deita-se em uma maca, que desliza suavemente para dentro do aparelho, devendo permanecer imóvel durante o exame para que as imagens sejam adquiridas. Minutos antes do exame, o paciente toma um medicamento para diminuir a frequência.
Tomografia do crânio o que é e como é feita RD Xavier

Na tomografia computadorizada (TC), que antigamente era chamada de tomografia axial computadorizada (TAC), uma fonte de raios X e um detector de raios X giram em torno da pessoa. Nos aparelhos modernos, o detector de raios X geralmente tem quatro a 64 ou mais linhas de sensores que registram os raios X que passam pelo corpo.
TC angiografía ateromatosis calcificada de arterias coronarias (imagen... Download Scientific

A Angio TC é realizada por meio de uma técnica com utilização do meio de contraste, sendo um exame que auxilia o médico tanto no estudo de diversas patologias (doenças) quanto na avaliação das respostas aos tratamentos. Para obter as imagens neste exame é necessário fazer o uso de contraste, de modo a permitir uma melhor.
Angiotomografia o que é, para que serve e como funciona

Angiotomografia é um exame de diagnóstico por imagem que usa um tomógrafo para evidenciar características de veias e artérias. Ou seja, é uma modalidade de tomografia computadorizada, que usa radiação ionizante para captar imagens transversais de diversas partes do corpo, e as registra em pixels, os menores pontos em uma imagem digital.
Angio TC Cranio Toshiba Asteion 4 YouTube

O que é. A Angiotomografia, ou Angio TC, é um exame de imagem que faz uso do aparelho de tomografia computadorizada e do contraste iodado intravenoso em tempos de aquisição específicos para analisar as veias e artérias do corpo do paciente. Um exame com contraste pode ser útil na análise de estruturas e órgãos diferentes dependendo do.
ANGIO TOMOGRAFIA ABDOMINAL 3D YouTube

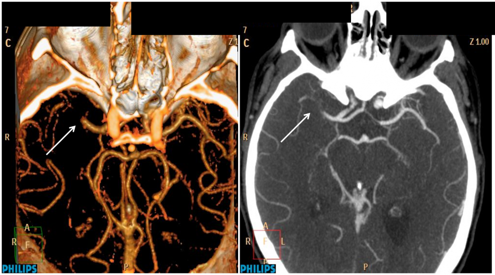
Ver índice. No contexto do estudo vascular intracraniano, as técnicas angiográficas por tomografia computadorizada (TC) e ressonância magnética (RM) têm papel de bastante destaque. As imagens de angio-TC e angio-RM têm aproximado cada vez mais daquelas da angiografia com subtração de imagens digitais, que ainda são consideradas.
¿Es la angiotomografía computarizada la mejor prueba inicial para el dolor torácico? NetMD

Metodologia. A angiografia é realizada, de um modo geral, em ambiente hospitalar mas não requer internamento embora, em alguns casos, seja recomendável passar uma noite no hospital. O procedimento demora entre 30 minutos a 2 horas e é realizado sob anestesia local ou sedação. No caso de crianças ou em casos mais complexos, pode ser.
Angio TC e TC Coronarica Clinica San Martino

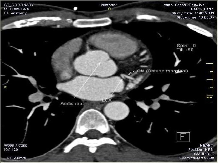
Tc Angio Coronariana; O que é? Através de uma tomografia computadorizada do coração com contraste, permite detectar e a quantificar entupimentos nas artérias coronárias (vasos responsáveis pela irrigação sanguínea do coração, e que quando obstruídos podem levar ao infarto agudo do miocárdio). De maneira mais simples e minimamente.
ANGIO TC CORONARIA PDF

A angio-TC costuma ser usada, em vez da angiografia convencional, pois é segura e menos invasiva (ela não requer a inserção de um cateter em uma artéria, o que tem um risco ligeiramente maior do que a inserção de um cateter em uma veia). A angio-TC mostra anomalias nos vasos sanguíneos quase tão precisamente quanto a angiografia por.
angiografía coronaria por tomografía computarizada (actc) de 64 cortes.... Download Scientific

Una TC puede reducir o evitar la necesidad de procedimientos invasivos para diagnosticar problemas en el cráneo. Esta es una de las maneras más seguras de estudiar la cabeza y el cuello. Otras pruebas que pueden hacerse en vez de la TC de la cabeza incluyen: RM de la cabeza; Tomografía por emisión de positrones (TEP) de la cabeza
A angiotomografia de coronárias pode ser usada para investigação de pacientes com

Una angiografía coronaria por tomografía computarizada es una prueba por imágenes para observar las arterias que suministran sangre al corazón. La angiografía coronaria por tomografía computarizada utiliza un potente equipo de rayos X para producir imágenes del corazón y sus vasos sanguíneos. Esta prueba se usa para diagnosticar.
A. Reconstrucción 3D angioTC abdomen; B. Corte transversal angioTC... Download Scientific

A angiotomografia, ou angio TC, é um exame de diagnóstico que combina duas técnicas, a angiografia e a tomografia computadorizada, utilizando modernos equipamentos em 3D, que permitem visualizar e detectar alterações de veias e artérias, como aneurisma, obstrução ou estreitamento dos vasos sanguíneos.
¿En qué consiste un Angiotac? Grupo Scanner Vizcaya

A angiotomografia demora em média 10 minutos, e 4 horas antes de sua realização o indivíduo não deverá comer nem beber nada. Os medicamentos de toma diária podem ser tomados à mesma hora, mas recomenda-se não tomar nada que contenha cafeína e nenhum medicamento contra a disfunção erétil 48 horas antes do exame. Contraindicação da.
MPR de angioTC da aorta onde se destaca zona de estenose no segmento... Download Scientific

A ANGIO TC ou angiotomografia é um exame de diagnóstico que nos permite avaliar os vasos sanguíneos ( veias e artérias ). As artérias (sangue arterial) permitem enviar o sangue desde o coração até às células, enquanto que as veias permitem conduzir o sangue desde as células de volta até ao coração (sangue venoso).
.